眼瞼下垂症
概要
「眼瞼下垂症」とは、まぶたが開きにくくなる病気で、さまざまな原因でおこります。
とくに、まぶたを開く筋肉とまぶたの接合部は弱点で、構造上病的にゆるみやすくなっています。
そのため、眼瞼下垂症は、誰にでも起こりうる身近な病気です。
ただ、すぐにまぶたが下ってくるとは限りません。。
むしろ、頭痛・肩こり・眼精疲労などの、一見まぶたとは無関係の症状から始まることが多いようです。
そのため、多くの人が、眼瞼下垂症に陥っていながら、長年、病気という認識には至らない場合が多いです。
また、症状が進行しますと、いずれは、まぶたがしっかり開くことができなくなります。
このような事態は、当然のことながら、「見ること」の障害となり、
さまざまな生活の支障を引き起こします。
診断
眼瞼下垂症は、いくつかの種類が、さまざまな程度で、複合的に存在する場合が少なくありません。
したがって、ひとことで単純に「眼瞼下垂症」が有る無しといえるものではありません。
これらすべてのことを総合的に診断してはじめて、正確な治療の見通しが可能になります。
当院では、このことを、患者様に十分にご理解していただけるよう、十分な時間(1時間ほどかかります)をかけます。
チェックポイント
眼瞼下垂症の疑いがあるかどうか、 自己診断用のチェックポイントを載せています。参考にしてください。
治療
治療は手術によります。
手術方法は診断や症状により異なり、
大まかには、挙筋前転法・筋膜つり上げ法・皮膚切除、その他の方法、などに分類されます。
眼瞼下垂症の詳しい診断に基づいて、これらの手術方法を選択していきます。
"病的な眼瞼下垂症"と診断された場合には、保険診療となります。
また、二重の幅を調整するなど美容を目的とする場合は、美容手術(自費診療)となります。
麻酔は、普通局所麻酔で行い、原則的に入院の必要はありません(希望があれば入院は可能です)。
手術後は、ガーゼを当てたりすることもなく、軽作業な術直後より可能で、洗顔やシャンプーも可能です。
抜糸は手術後3-6日後におこない、そのあとは1か月、3か月、6か月後のフォローアップをいたします。
また、3か月~6か月時点で、合併症などの問題がある場合には、場合によっては修正手術を行うこともあります。
合併症
眼瞼下垂症をふくめまぶたの手術に共通する合併症や問題点は、次の3つに集約されます。
1) まぶたの高さの左右差
2) 二重瞼に関する左右差や変形など
3) まぶたの形そのものの歪みや変形
当院では、手術後1か月、3か月、6か月のフォローアップを行い、3か月以降の評価で問題がある場合は、
修正手術を行っております。
4) 手術の傷跡
この手術に限らず、すべての手術は、皮膚を切開した後には、傷跡が必ず残ります。
重要なのは、傷跡がいかに目立たないようにするかということです。
切開の場所・方向・切開の方法・縫合の方法を適正に行えば、良い結果が得られます。
瞼の傷は、ほとんどわからなく治ります。
極めてまれに、傷跡が問題になることがあります。
※挙筋前転術は、形成外科の手術の中でも、最も難易度の高い手術のうちの一つと考えています。
機能的・美容的に問題なく自然で美しく仕上げるためには、技術と経験が必要です。
「保険診療なので手術による瞼の変形は仕方がない」と医師からいわれたという患者様もよくおられますが、
これまでにみてきた変形を生じた眼瞼下垂症の手術後のまぶたは、機能的にもスムーズな動きが得られていないことが多いです。
逆に言えば、美容的に綺麗に仕上がっているまぶたは、機能的にも良好な動きを回復していることが多いといえます。
眼瞼下垂症を綺麗に仕上げることは、美容的のみならず、機能的にも非常に大切なことです。
当院では、変形した眼瞼下垂小手術後のまぶたの修正も多数おこなっております。
実際の症例
写真をクリックでスライド表示
「手術」といえば「こわい」と感じてしりごみしてしまうでしょう。
当院では、できるかぎり「痛くない」治療を心がけており、
技術的な工夫をさまざまに行っております。
また、手術後の腫れや痛みも最小限に抑えるように丁寧な手術を行っております。
ここにあげる実例は、そのような手術の経過を示ております。
どなたにとっても、手術を受けるということは、怖く、大変勇気がいることです。
具体的な手術の実例を見ていただくことで、少しでも手術のこわさを取り除一助となれば幸いです。
以下の実例は、すべて保険診療で治療を行っております。
腱膜性眼瞼下垂症・中等度 両側の挙筋前転術による治療
手術前
まぶたの下垂症状は軽度から中等度程度です。ただ、難しいケースです。これまで何人かの医師に手術を断られています。 難しい理由は、強いおちくぼみです。
手術直後
手術が終了した直後です。 左右差も比較的少なく仕上がりました。 ただ一つ、左のまぶたの落ち窪みが若干残っております。
手術後1日目
手術翌日の状態ですが、瞼の腫れは、最小限で抑えられたようです。 普通、当クリニックにおいては、手術の翌日か翌々日に腫れれのピークを迎えます。
手術後4日目(抜糸時)
手術後4日目です。腫れはピークを越えたようです。 抜糸をしましたが、傷は問題ないようです。 まぶたの上がり具合も良好です。 お化粧も可能で、手術をしたのもわかりにくくできるでしょう。
手術後1か月
腫れはほとんどなくなっております。 左の落ち窪みも少しよくなりました。 傷は、3-6か月かけて、だんだんとなじんでくるでしょう。
腱膜性眼瞼下垂症・中等度 両側の挙筋前転術による治療
手術前
まぶたの下垂症状は、中等度の強めです。二重の幅も広めです。 落ち窪みは比較的軽度です。 まぶたの上のほうにみみずばれのような盛り上がりがありますが、落ち窪みを治すために受けた脂肪注入によるものです。 明らかに、治療としては適切ではないので、後ほどの修正の対象とみなしております。
手術直後
手術が終了した直後です。 左右差はほとんどない仕上がりがわかります。 ただ、右まぶたの外側に青っぽい皮下出血が少しできてしまいました。 時にこのようになりますが、通常は生じません。
術後2日目
手術の翌々日です。 腫れはピークを迎えました。 腫れとしては、少ないのですが、 あの手術時の皮下出血は、赤い溢血斑(イッケツハン)となって現れました。
術後5日目
手術から5日が経過し、抜糸を行いました。 腫れも引きつつあります。 溢血斑は少し長引きます。大体2週間で赤みは消え始めて黄色っぽくなり、3週間で完全に消えます。 抜糸が終わったので、この溢血斑はお化粧でごまかしてもらいます。
術後1か月
溢血斑も完全に消失し、目の開き具合も良好です。このように治れば、手術したことはまずわかりません。
腱膜性眼瞼下垂症・中等度 両側の挙筋前転術による治療
手術前
術前の写真です。まぶたの二重線が多重瞼になっており、少し幅広くなっています。 左右差はあまりないもののの、まぶたの上りが大変悪くなっています。 (上方をうまく見れないようです。)
手術直後
手術直後の状態です。なるべく腫れないように手術を行っております。 この程度の腫れであれば、ちょっとした左右差があったとしても その場で修正が可能です。 瞼が手術で腫れてしまうと、一過性のまぶたの下がりが生じ、まぶたの上がり具合の調整が難しくなります。 はっきりと上方を見ることができるようになりました。
術後3カ月
術後3カ月の状態です。 上方視もとくに問題なく行えております。 眼精疲労・頭痛・肩こりはほとんど消失しました。
腱膜性眼瞼下垂症・中等度 両側の挙筋前転術による治療
手術前
比較的強い腱膜性眼瞼下垂症です。 幅広く、多重の二重ラインが認められます。 右のほうが左よりも下がっています。 上方をみるのもいかにもしんどい感じです。 目の疲れと肩こりがありました。
手術直後
手術直後の状態です。はっきりと目が開いています。 右の方が症状が強かったので、わずかに右を強めに引っ張っております。 この様なわずかな調整は腫れてしまうと難しくなってきます。 上方もちゃんと見れるようになりました。
術後3カ月
術後3カ月の状態です。自然な感じで落ち着いてきました。 上方をみるのも特に問題ありません。
腱膜性眼瞼下垂症・中等度 両側の挙筋前転術による治療
手術前
比較的強い腱膜性の眼瞼下垂症です。 上方をみるのがつらそうです。
手術直後
手術直後の状態です。左右差なく調整できております。 上方も楽に見れるようになりました。
術後3カ月
手術後3か月の状態です。自然にまとまりました。 上方もうまく見れるようになりました。
腱膜性眼瞼下垂症・重度 両側の挙筋前転術による治療
手術前
80歳近い女性の眼瞼下垂症の方です。 まぶたがほとんど開かないので大変不自由されておられます。 ご家族の方につれられてご来院されました。
手術直後
手術直後の状態。ご高齢の方は手術でまぶたが大変腫れやすいです。 できるだけ腫れないように、手術を行わなければ、 左右の比較が難しくなってきます。 上方も十分に見れるようになりました。
術後3カ月
術後3カ月の状態です。まぶたは十分に開きました。 どこにでも一人で行けるようになったそうです。手術後からは 当院にもおひとりでご来院されるようになりました。眉毛をあげる癖はのこっておりますが、 そのことでとくに疲労を感じてはいないようです。
左先天性眼瞼下垂症・右瞼膜性眼瞼下垂症 左の筋膜つり上げ術、右の挙筋前転術による治療
手術前
左の先天性眼瞼下垂症です。 まぶたを引き上げる筋肉「眼瞼挙筋」がほとんど動いていないので。上方を見たときも左の瞼は全く上がりません。 無意識にまぶたを開こうとするために、眉毛が上がります。相当に眉毛が上がっても、まぶたは十分に開きません。
左眼瞼の大腿筋膜移植術後
左まぶたの大腿筋膜移植術後です。 移植した大腿筋膜は眉毛とまぶたを連結し、 眉毛をげただけ、まぶたは開きます。眉毛は1cmもあげれば、まぶたは十分に開きます。 左まぶたは十分に開くようになったのですが、それにより右のまぶたの腱膜性の下垂症が露呈されました。 左まぶたの大腿筋膜移植術後、上方を見たときの状態です。上方をみる時の右のまぶたの上りは不十分です。
右眼瞼下垂症の術後
右の眼瞼下垂症の術後です。左右のバランスがおちつきました。 上方もうまく見れるようになりました。
加齢による下眼瞼の眼瞼内反症
概要
この病気は、加齢により、下まぶたが、内側に倒れこんで目の中にまぶたが入り込む病気です。 そのため、まつげが常に眼球にあたり、目はいつも充血し、角膜(黒目)に傷がたくさんついてしまい、 目が痛い状態が続きます。 原因は、まぶたを支える組織がゆるんでしまっておこる病気です。
治療法
眼瞼内反症と診断されれば、保険診療での治療となります。 当院では、ジョーンズ変法という手術法を採用しております。 治療にが順調であれば、ほぼ正常な下まぶたの機能を取り戻し、目の不快な症状はまったくなくなります。
合併症
1) 下眼瞼のひきつれ
手術で気を付けなければいけないのは、下まぶたが下に引っ張られて、変形を起こしてしまう恐れがあります。
ただ、細心の注意を払えば、めったに生じることはありません。
もしこのようなことが生じれば、修正の手術が必要となります。
2) 再発
手術による組織の修復が不十分であれば、再発することもあります。
この場合も再手術を行う必要があります。
3) 手術の傷跡
この手術に限らず、すべての手術は、皮膚を切開した後には、傷跡が必ず残ります。
重要なのは、傷跡がいかに目立たないようにするかということです。
切開の場所・方向・切開の方法・縫合の方法を適正に行えば、良い結果が得られます。
本症例のように、瞼の際の傷は、ほとんどわからなく治ります。
極めてまれに、傷跡が問題になることがあります。
手術前
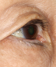
下眼瞼に注目してください。まつ毛がほとんど見えていません。 瞼が内側に反転して、瞼の皮膚とまつ毛が 眼球にじかに触れてしまっています。このため慢性的に眼球に傷が付き、つねに涙や目やにがたまり、炎症を起こして、目はいつも充血してしまいます。
術後1カ月
術後1カ月です。内反していたまつ毛と皮膚はきれいに表にあらわれました。 まだまつ毛の少し下にある傷が見えていますが、これから落ち着いていきます。
術後3カ月
術後3カ月です。 再発もなく、まつ毛のすぐ下にあった傷はほとんど分からなくなっております。 患者様は、快適な生活を送っておられます。
全ての写真は患者様の承諾を得て掲載しております。

